Close Icon
Book a Appointment
Call
Full Mouth Rehabilitation

Stop suffering from painful toothaches and mouth sores any longer!

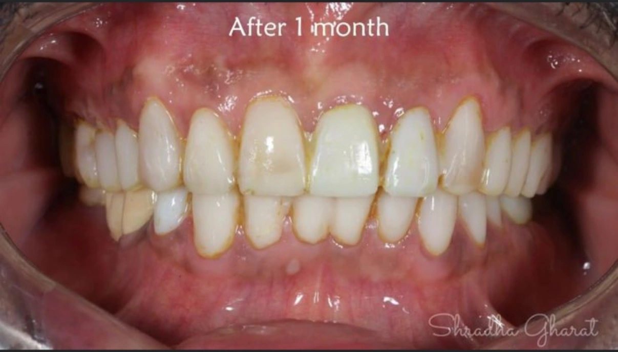
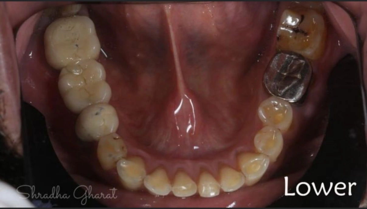
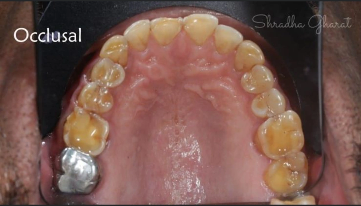
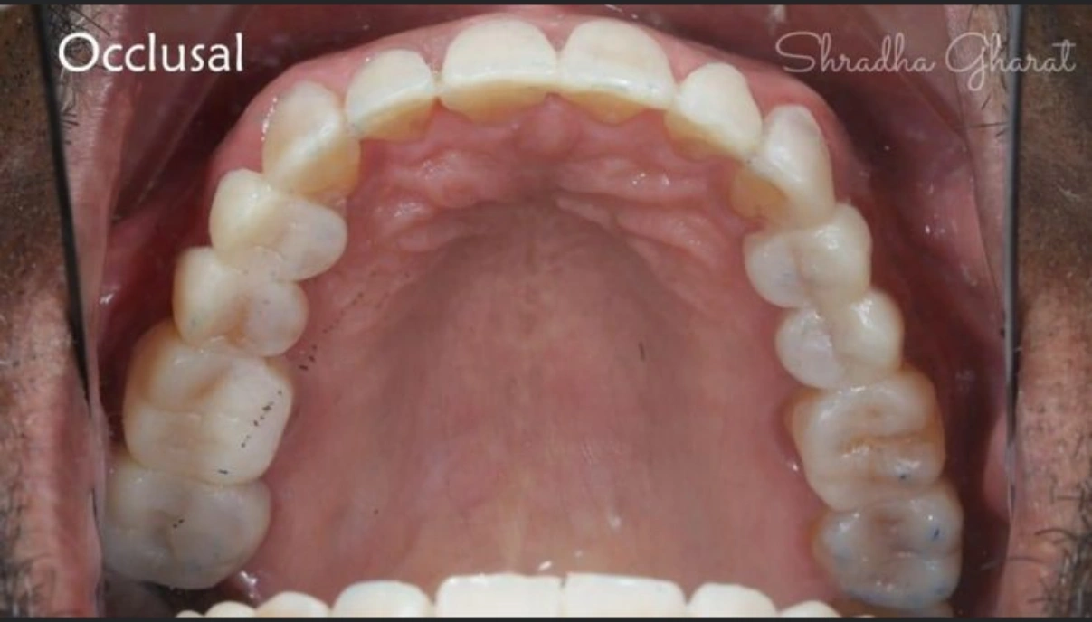
Full mouth rehabilitation includes restoration of lost tooth structure and bite. This technique sensitive procedure involves buildup of lost tooth enamel and dentin. Missing tooth can be replaced with Dental Implants or dental bridges. A Full mouth Reconstruction procedure is mainly indicated for patients with extreme tooth wear.
Stop suffering from painful toothaches and mouth sores any longer!

What is FMR?

Full mouth rehabilitation (FMR) is a treatment plan for restoring function and function tolerance of dentition after surgery or dental restoration. It aims to restore dentition to the optimal point of function and esthetics of a healthy mouth. The treatment plan provides patients with a permanent smile that looks natural and bright.

Benefits of FMR

Full mouth rehabilitation helps in attaining the following:-

Restoration of lost tooth structure

Replacement of missing teeth if any

Desired Asthetics

Improved chewing capacity

Speech enhancement

Healthy gums

Benefits of FMR
Multiple dental treatments join hands to give you something more than a mere smile makeover. Based on the case history of patient and nature of defects, the following can be advised:-
Crowns and Bridges

Crowns and Bridges

These two types of FMR use either natural teeth or other artificial materials to replace a missing tooth.

Veneers

Veneers

Uses invisible aligners to help your teeth move into their correct positions.

Implants

Implants

Placed into the jawbone to hold a tooth in place.

Onlays

Onlays

Placed into the jawbone to hold a tooth in place.

FMR

Make a dental appointment today and get the best FMR treatment in Navi Mumbai.

Om Dental Clinic to get the best FMR treatment.

Are you looking for a dentist that can help you achieve the best oral health possible? If so, then you should consider scheduling an appointment with Om Dental Clinic in Navi Mumbai. This best dental clinic is known for its high-quality FMR treatment.

FMR is an important dental treatment that can help improve your oral health. It helps to remove plaque and tartar from your teeth, which can lead to improved gum health and a cleaner smile. Om Dental Clinic is a qualified practitioner of FMR, and we will use the latest techniques to help you get the best results possible.

Our team of experienced and skilled professionals will work hard to provide you with the best FMR treatment possible. From general dentistry services to advanced restoration techniques, we have everything you need to get the smile you’ve always wanted.

Full mouth rehabilitation can improve the overall health of the patient by improving their oral health, maximizing their dental treatment options, and enhancing their quality of life. So, if you are looking for full mouth rehabilitation treatment in Navi Mumbai, Om Dental Clinic is your best bet. Contact us today and get a consultation done with our dentist.